Bengaluru
08048048053
+919008866688

WELCOME TO

Dental Junction

Dr. Syed Inayathulla is a highly experienced dental professional with over 26 years of expertise in dentistry, specializing in Dental Implantology. Known for his patient-centered approach and commitment to advanced dental care, Dr. Inayathulla has built a strong reputation for delivering reliable, comfortable, and high-quality dental treatments. Wi...Read More about Dental Junction
Dr. Syed Inayathulla is a highly experienced dental professional with over 26 years of expertise in dentistry, specializing in Dental Implantology. Known for his patient-centered approach and commitment to advanced dental care, Dr. Inayathulla has built a strong reputation for delivering reliable, comfortable, and high-quality dental treatments. With a Bachelor of Dental Surgery (BDS) qualification and extensive clinical experience, he offers a wide range of dental services designed to restore oral health, function, and confidence. His specialization in dental implants allows patients to regain missing teeth with durable, natural-looking solutions that improve both aesthetics and functionality. Over the years, he has successfully treated numerous patients using modern dental technologies and internationally accepted treatment protocols. Dr. Syed Inayathulla is dedicated to providing comprehensive dental care, including full mouth rehabilitation, smile design, aligners and braces, cosmetic dentistry, and preventive dental treatments. His focus is always on creating personalized treatment plans that meet the individual needs of each patient while ensuring comfort and long-lasting results. With decades of hands-on experience and a passion for continuous learning, Dr. Inayathulla stays updated with the latest advancements in dental science to offer modern and effective treatment solutions. His clinic provides a friendly and hygienic environment where patients of all ages receive professional care with compassion and attention. Dr. Syed Inayathulla continues to help patients achieve healthier smiles and improved oral well-being.
about-cover-bg image
About Dental Junction

The Best Doctor in Bengaluru

Products
Featured Products

What We Cure

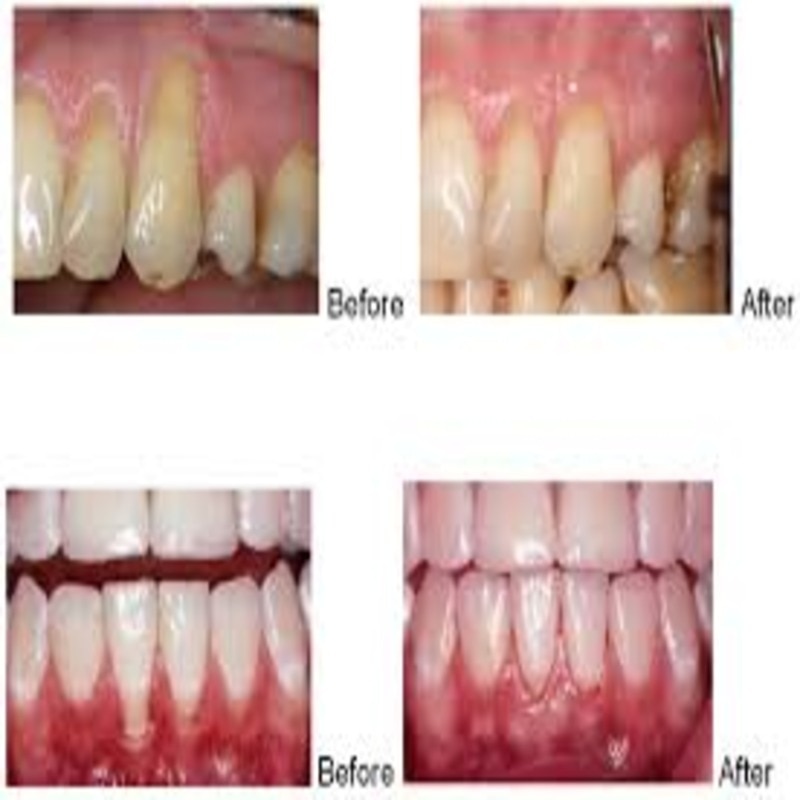
Image Gallery

Pictures That Speak

Need Trusted Second Opinion?

Not sure about your diagnosis or treatment plan? We're here to help.

footerhc